生活習慣病,頭痛・めまい・しびれ・認知症など脳に不安のある方はご相談下さい.

はちのへ西脳神経クリニックのロゴ

はちのへ西脳神経クリニック

〒039-1101青森県八戸市尻内町鴨ヶ池15-1 TEL: 0178-20-8122

脳ドックについて

当院の脳ドックについて

1.当日,画像診断の結果を医師が直接説明します.

2.大きなコンピュータのモニタにて画像を表示し,説明します.

3.閉塞感の少ないMRI機器を使用しています(オープンMRI)

4.お手軽に受診できるような料金設定です.

脳ドックの必要性

脳は傷害を受けますと再生する能力がない臓器ですので,大部分の脳の病気は後遺症を残してしまいます.脳卒中などで重篤な後遺症を残さないためには,早期診断と早期治療,さらには早期からの予防対策が大切です.なにも症状がない方にとっても,脳にとっての健康診断,つまり脳ドックをうけてみることをお勧めします.特に高血圧や糖尿病などの脳卒中の危険因子のある方,脳卒中の家族歴がある方は是非脳ドックを受けてみてはいかがでしょうか。また,体の状況は日々変化していきますので, 一度でおわりにするのではなく, 定期的に継続的に脳ドックを受けられることをお勧めします.

検査内容

1.問診,血圧測定,血液検査:高血圧,糖尿病,脂質異常症など 脳卒中の危険因子をチェック.

2. 脳MRI:MRI(0.4TオープンMRI)による脳の断層撮影です. 

  脳腫瘍(脳のできもの),脳梗塞,脳萎縮などを判定します.

3. 脳MRA:MRIによる脳血管の撮影です.脳動脈瘤(脳の動脈にできるコブ),動脈狭窄(細くなる)・閉塞(つまってしまう)などを検索します.

4. 頚動脈MRA:同様にMRIによる頚動脈の撮影です.頚動脈の狭窄,閉塞などを診断します.

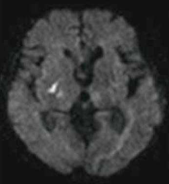
脳梗塞のMRI画像
脳動脈瘤のMRA画像
頸動脈MRA

  頸動脈MRA

  MRI(脳梗塞急性期)

  脳MRA(脳動脈瘤)

当クリニックでは,下記の二つのコースを用意しております.受診される方の現状に合わせ選択していただけます. 採血以外は痛みもなく,放射線もつかいませんので安心して受診していただけるかと思います.検査時間はおおよそ1時間程度かかり,その後,コンピューターのモニターを用いて,大きな画面で画像診断の結果(血液検査などは後日結果を郵送)を説明させていただきます.


 基本コース(19,000円)*2026年4月より20,000円

健康診断や他の医療機関などで,血液検査などは受けているので,脳だけを調べてみたい方などのためのコースです.検査,説明時間を含め1時間程度かかります.

 ・頭部MRIT1, T2, FLAIR, T2*

 ・頭部MRA

 ・血圧測定

 精密コース(34,000円)*2026年4月より35,000円

頭頸部の血管,脳の状態さらには脳卒中の危険因子である高血圧,高脂血症,糖尿病,不整脈などを総合的に調べてみたい方向けのコースです.検査,説明時間を含め1時間半〜2時間かかります.

 ・頭部MRIT1, T2, FLAIR, T2*

 ・頭部MRA,頚動脈MRA

 ・血圧測定

 ・血液・尿検査

 (後日郵送にて結果報告いたします)

 ・心電図

*なお,ご希望により頚動脈エコー検査を追加していただくことも可能です.予約の際にお申し出ください(追加料金4,000円*2026年4月より5,000円).

頚動脈は動脈硬化の好発部位であり,頚動脈における動脈硬化性病変は全身の動脈硬化の程度を反映し,脳血管障害や冠動脈疾患との関係が深いと言われています.頚動脈エコーは簡単で非侵襲的に動脈硬化を評価出来る検査ですので,糖尿病,高血圧,脂質異常症など血管障害の危険因子を持つ方におすすめする検査です.

当クリニックでは,脳ドックはお電話にてご予約を受け付けております.下記,電話番号にて受診日,検査時間など相談させていただきます.お気軽にお電話ください.

脳ドック予約

: 0178-20-8122 

区切り線

はちのへ西脳神経クリニック 〒039-1101 青森県八戸市尻内町鴨ヶ池15-1 Copyright (C) 2025 Hacinohe-Nishi Brain Clinic