生活習慣病,頭痛・めまい・しびれ・認知症など脳に不安のある方はご相談下さい.

はちのへ西脳神経クリニックのロゴ

はちのへ西脳神経クリニック

〒039-1101青森県八戸市尻内町鴨ヶ池15-1 TEL: 0178-20-8122

MRI

MRIは磁石を使った断層撮影です.磁場に身体が入ると,体内の水などを構成している水素原子核が磁気に共鳴して電波を発生します.それを受信し画像を作成します.CTとの大きな違いは ”放射線” を使用しないことです.また,造影剤を使わずに血管を描出することもできます.

当院で使用しているMRI装置

当院のMRI装置はHITACHI製 APERTO Eterna 0.4Tです.左の図のように320度開いたワイドオープン型の装置なので,圧迫感・閉塞感が少なく,狭いところが苦手な方や小児,ご高齢の方でも比較的安心して,検査が受けられます.

頭痛・めまい・腰痛や肩こり・手足のしびれの原因検査,顔面や頭部の外傷,脳疾患後の管理や,クモ膜下出血の原因となる脳動脈瘤(脳の動脈にできるコブ)や,初期の脳梗塞の発見など,また,生活習慣病の方の病気の早期発見や予防にも効果的な検査です。

高性能で患者さんに優しい

最新型のオープンMRI

(心臓ペースメーカーは非対応です)

頚動脈MRA
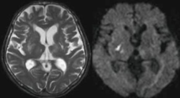
脳梗塞急性期のMRI画像
脳MRA

超音波診断装置

頚動脈エコー検査は頚動脈の壁の厚さなどをはかることで 全身の動脈硬化の程度をおおむね把握することができる検査です.首にゼリーを塗り,検査器具を軽く当ててゆっくりと動かすだけで,15分程度で終了します.

頚動脈は,脳に血液を送る大事な血管ですが,動脈硬化を起こしやすい血管です.頚動脈エコー検査によって血管の壁が厚くなっていないか,コレステロールや血栓が沈着していないか等を検査します.

超音波診断機器

年齢とともに動脈硬化は進行していきます.動脈硬化による頚動脈の壁肥厚,狭窄,プラーク形成などは脳梗塞の危険性を明らかに高めてしまいます.高血圧,高脂血症,糖尿病など動脈硬化の危険因子のある方や,脳血管疾患の既往歴のある方におすすめする検査です.体に侵襲のない検査ですので繰り返し定期的に行うことが可能です.

頚動脈狭窄などを侵襲なく検査可能な超音波診断装置

頚動脈狭窄病変のエコー写真(横断像)
頚動脈狭窄病変のエコー写真(縦断像)

電子カルテ,画像ビューワー

画像ビューワー

最新の電子カルテ,画像ファイリングシステムを導入しています.

効率よく診察ができ,待ち時間の短縮が図れます.27インチモニターに画像診断を表示しますので,患者さんに分かりやすく説明することができます.

区切り線

はちのへ西脳神経クリニック 〒039-1101 青森県八戸市尻内町鴨ヶ池15-1 Copyright (C) 2025 Hacinohe-Nishi Brain Clinic